maladie de Hodgkin ou lymphogranulomatose maligne ou lymphome de Hodgkin

Cet article est extrait de l'ouvrage « Larousse Médical ».

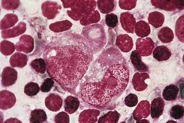
Affection maligne du tissu lymphatique touchant essentiellement les ganglions lymphatiques et caractérisée par une cellule très particulière, dite cellule de Sternberg.
La maladie de Hodgkin est rare chez l'enfant et présente deux pics de fréquence, entre 20 et 30 ans et au-delà de 50 ans. Ses causes sont encore inconnues. Le virus d'Epstein-Barr, responsable de la mononucléose infectieuse, pourrait jouer un rôle dans 50 % des cas, mais d'autres éléments sont certainement en cause.
Symptômes et signes
L'affection apparaît d'abord aux ganglions lymphatiques (cou, aisselle, aine, médiastin [espace entre les poumons]), augmentés de volume (adénopathies) et où l'on observe les cellules de Sternberg, des cellules géantes à noyaux multiples caractéristiques de cette maladie dont on sait à présent qu’elles sont, dans la plupart des cas, des cellules lymphoïdes B anormales. L'affection s'étend de proche en proche aux chaînes ganglionnaires et parfois à la rate, qui augmente de taille. Plus tardivement, d'autres organes, comme le foie, le poumon ou la moelle osseuse, sont touchés. La maladie s'accompagne fréquemment de signes généraux tels que fièvre, sueurs nocturnes et amaigrissement, avec des signes biologiques d'inflammation (augmentation de la vitesse de sédimentation sanguine). La maladie est parfois révélée par des démangeaisons inexpliquées et encore, plus rarement, par des douleurs à l’ingestion d’alcool.
Diagnostic
Il repose exclusivement sur l'examen anatomo-pathologique d'un ganglion prélevé chirurgicalement, qui montre un bouleversement de son architecture tissulaire et la présence de cellules de Sternberg. Cette étude permet de différencier la maladie de Hodgkin des autres lymphomes, dits non hodgkiniens. Le diagnostic établi, il faut estimer le degré d'extension de la maladie, dont dépend la conduite du traitement. L'étendue de l'atteinte des ganglions superficiels est évaluée à l'examen clinique, celle des ganglions profonds par échographie ou scanner. On distingue quatre stades de l'affection, la présence de signes généraux définissant les formes évolutives.
Traitement
Il fait appel à une polychimiothérapie et à la radiothérapie. Différents types de traitements chimiothérapiques, en constante évolution, sont possibles. La radiothérapie est habituellement appliquée aux ganglions atteints initialement, détectés au moment du diagnostic. Dans certaines formes localisées, il est parfois proposé une radiothérapie sans chimiothérapie. Dans les rares cas d'échec du traitement, ou en cas de rechute ultérieure, on peut recourir à une autogreffe : des cellules souches hématopoïétiques sont dans un premier temps recueillies chez le malade, souvent après une chimiothérapie intensive. Une seconde chimiothérapie, très puissante, lui est ensuite administrée, puis les cellules souches sont réimplantées, permettant la reconstitution de tissus hématopoïétiques sains.
Pronostic
Constamment mortelle jusqu'au début des années 1960, la maladie de Hodgkin est un des cancers qui a le plus bénéficié des progrès de la radiothérapie et de la polychimiothérapie. On peut donc guérir, à présent, une majorité de patients.
Voir : ganglion lymphatique, lymphome, cellule de Sternberg.

