maladie de Vaquez ou polyglobulie primitive de Vaquez

Cet article est extrait de l'ouvrage « Larousse Médical ».

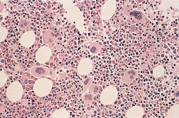
Maladie caractérisée par une prolifération maligne des précurseurs des globules rouges.
La polyglobulie de Vaquez est la forme la plus fréquente des syndromes myéloprolifératifs. Elle survient le plus souvent après 50 ans. Elle résulte, dans plus de 90 % des cas, d’une mutation acquise activatrice d’une enzyme (JAK2) jouant un rôle clé dans la transmission des signaux intracellulaires.
Symptômes et signes
La maladie se manifeste en général par des symptômes nombreux et prononcés : rougeur du visage et des muqueuses, maux de tête, vertiges, sensations plus ou moins douloureuses d'engourdissement, fourmillements, démangeaisons causées par le contact de l'eau. La rate apparaît souvent anormalement grosse à la palpation.
Diagnostic et traitement
Le diagnostic se fonde sur l'hémogramme, qui révèle une augmentation marquée et sans cause apparente du nombre des globules rouges et, souvent, une augmentation des plaquettes et des polynucléaires neutrophiles. En outre, on ne retrouve aucune des causes qui peuvent être à l'origine d'une polyglobulie secondaire : insuffisance respiratoire chronique, tumeur du rein, etc. Dans les formes sans augmentation des polynucléaires neutrophiles ou des plaquettes et sans splénomégalie, la mise en évidence dans le sang de la mutation de la protéine JAK2 permet un diagnostic beaucoup plus simple qu’autrefois.
Le traitement consiste en saignées abondantes et répétées, destinées à réduire la masse des globules rouges par rapport à la masse totale du sang. Il doit parfois être poursuivi pendant une assez longue période (plusieurs années). Chez les sujets âgés, les saignées sont contre-indiquées, notamment en cas de complications vasculaires ou d'excès de plaquettes sanguines. Le traitement consiste alors à limiter la production des cellules malignes au moyen de médicaments inhibant la division des cellules. Le plus utilisé est l’hydroyurée qui est très bien toléré.
Évolution et pronostic
La polyglobulie de Vaquez comporte un risque de thrombose (formation de caillots) non négligeable si la polyglobulie n’est pas contrôlée. À plus long terme (plus de 10 ans), elle peut évoluer vers une leucémie aiguë ou, parfois, vers une myélofibrose (fibrose de la moelle osseuse). Néanmoins, l'espérance de vie des malades est bonne et le pronostic demeure dans l'ensemble très bon.

